[김준 원장의 Dr. Note] 메시를 사용한 코 수술의 합병증 및 재수술과 바로코 연입코성형

코 성형 재료 중 비중격 재건이나 연장술 등에 사용되 는 메시는 일반적으로 PCL 메시(polycaprolactone mesh), 메드포어 메시(medpor mesh, PROPLAST Ⅱ) 등이 있다. 최근에는 주로 비중격 대용으로 PCL 메시 가 많이 사용된다.
메시는 생체흡수성 고분자로 제작된 다공성 구조이며 체내에서 약 2~4년간 서서히 분해된다. 초기에는 안정 적인 구조를 제공하며 이후에는 흡수되어 환자의 조직과 유착된다고 한다. 하지만 수술장에서 조직과 유착된 채로 남아있는 경우가 대부분이며 이로 인해 주변 조직 의 변형 탄력성의 소실과 피부의 착색과 함몰 등이 흔히 관찰된다.
![]()
PCL 메시는 높은 유연성을 가진 소수성 반결정성 중합체이다. 흡착성 메시로
조작이 용이하고 3~4년 후 분해된다
이번 호에서는 반복적인 수술 후의 비중격 구조 재건과 코끝 융기를 위해 사용된 메시 를 제거한 후 늑연골로 재수술한 케이스에 대해 알아보려 한다.
코 성형 및 비중격 수술 합병증 사례
![]()
수술 전 사진. 좌측에서 우측으로의 역C형 사비, 비주와 비공의 비대칭,
비주 함몰이 관찰되었다
이전 6차례에 걸친 코 성형 및 비중격 수술 병력이 있는 1990년생 여성 환자가 지속적 인 코막힘과 콧물을 증상으로 내원하였다. 수술 전 이학 검사상 좌측에서 우측으로의 역C형 사비 소견을 보였다. 비주와 비공 비 대칭 및 비주 함몰도 관찰되었다. 특히 이전 수술 후 수년이 경과하였음에도 코끝의 딱딱함 및 코끝 피부의 color 변화와 통증을 지속적으로 호소하였다.
Cottle test에서 우측 positive가 관찰되었으며 흡기 시 좌측 비익연골의 허탈 소견이 보였다. 내원 당시 시행한 CT 검사상 비중격 연골에서 우측으로 만곡된 C-shape deviation이 보였다.
또한 비중격 연골 부분 에 약 4㎜의 천공이 보였으며, 천공 주변의 만성 염증 역시 확인하였다. 비중격 미단부에서 이물질로 보이는 음영이 관찰되었으며 비중격 연장에 사용된 이물질로
판단되었다.
![]()
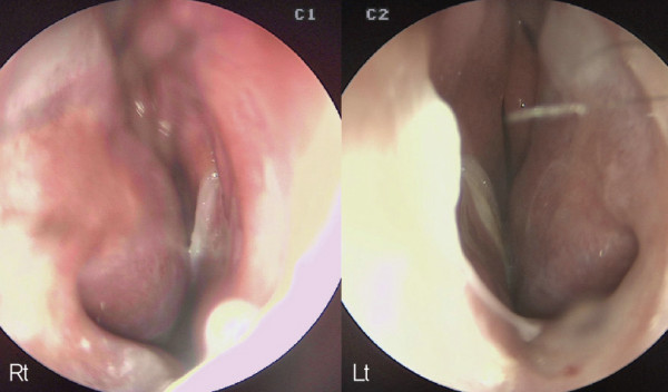
수술 전 비 내시경. 전체적인 비중격이 우측으로 만곡되어 C-shape deviation을
보인다. 비중격 중간 부분에 천공과 주변으로 만성 염증도 관찰되었다.
내시경 검사상 CT 검사에서보다 심하게 비중격 만곡을 보이고 있었으며, 비밸브 협착도 보여 자가늑연골을 이용한
비중격·천공 재건과 비 성형을 계획하였다.
![]()
수술 중 채취 재료. 8th & 9th costal cartilage(왼쪽)와 늑연골 채취 시 획득한
근막(오른쪽)
![]()
교정 전. 실리콘과 함께 메시로 보이는 이물질이 소실된 비중격의 상단과 미단
부위에 다량 이식된 상태가 관찰되었다. 소실된 비중격 재건과 미용적
목적으로 spreader 및 extended spreader graft 형태로 이식된 것으로
판단된다. 메시 주변의 연부조직은 유착이 심하고 탄력성이 소실된 상태였다.
행한 CT 검사상 비중격 연골에서 우측으로 만곡된 C-shape deviation이 보였다.
![]()
제거된 비중격과 메시 주변에 점막 소실로 인한 비중격 천공이 관찰되었다.
또한 비중격 연골 부분 에 약 4㎜의 천공이 보였으며, 천공 주변의 만성 염증 역시 확인하였다. 비중격 미단부에서 이물질로 보이는 음영이 관찰되었으며 비중격 연장에 사용된 이물질로 판단되었다. 내시경 검사상 CT 검사에서보다 심하게 비중격 만곡을 보이고 있었으며, 비밸브 협착도 보여 자가 늑연골을 이용한 비중격·천공 재건과 비 성형을 계획하였다.
![]()
메시 제거 후 비중격 상태. 비중격 연골 대부분이 소실되어 있으며, 이는 이전
수술 시 비중격 채취 및 이물질과의 유착으로 인해 발생한 것이다.
수술장 소견상 비중격의 연골부 대부분이 소실되어 있었다. 연골이 소실된 중앙 부위에 약 3~4㎜의 점막 소실이 관찰되는 천공이 보였다. 소실된 연골 부위 에는 메시로 보이는 이물 질이 쐐기이식(spreader graft) 형태로 콧등 양쪽 에 고정되어 있었다. 소실 된 비중격연골 미단 부위 에서는 비중격연장술 형태 로 이식된 메시가 관찰되 었다. 이는 CT에서 의심되었던
이물질로 생각된다.
비중격 재건 방법
![]()
교정 후. 남아있는 비중격 bone chip과 늑연골을 이용하여 batten 및 spreader
graft로 비중격을 재건하였다. 복부 근막을 이용하여 천공 부위를 수복하였다.
우측으로 만곡된 C-shape deviation이 전반적으로 확인되었다. 남은 비중격의 골부에서 bone chip을 채 취하였다. 오른쪽 8th 및 9th costal cartilage를 채 취하였으며, 채취한 bone chip과 costal cartilage를 이용하여 좌측 비중격의 상단부터 미단까지 넓게 batten graft를 시행하여 비중격을 재건하였다.

또한 비중격의 배부 강화를 위하여 양측 비중격 상단 에 각각 늑연골을 이용한 쐐기이식을 시행하였다. 비중 격 천공 수복을 위하여 늑연골 채취 시 복부 근육을 싸 고 있는 근막을 채취하여, 양쪽 천공 부위에 1×1.5㎝ 크기로 삽입하였다. 이후 고주파를 이용하여 양측 하 비갑개 점막에 coblation을 시행하였다.
남은 늑연골을을 이용하여 양측 비중격 연장술을 시행한 뒤 기존의 실리콘을 제거하고, 다진 늑연골을 이용하여 실리콘 형 태로 배부 융기를 시행하였다.
![]()
수술 전후 수술장 사진. 비주의 함몰, 코끝의 처짐, 실리콘 비침, 코끝 피부톤의
변화 등이 개선된 모습이다.
메시는 최근 수년간 비중격 재건과 코끝 융기 등에 사용 되는 재료이다. 일부에서는 필러 등으로 사용되기도 한 다. 하지만 움직임이 많은 코끝의 경우 피부나 주변 조직 과 유착이 심하고, 비강 내로 돌출 시에는 상처가 아물 지 않아 영구적인 천공이나 만성 염증의 원인이 된다. 따 라서 비중격 재건 및 코끝연장술 시 자가연골을 사용하 는 것이 추천된다. 꼭 메시를 사용할 시에는 비중격 내에 서 제한적으로 사용하며 돌출에 유의해야 한다









