[김준 원장의 Dr. Note] 연입코성형 양악수술 후 코의 구조적 약화와 그 해결 전

얼굴의 균형을 바꾸는 수술, 코에도 영향
현대 사회에서 양악수술은 단순한 교정 목적을 넘어
얼굴의 균형과 인상을 변화시키는 미용적 수술로 자리 잡았다. 특히 돌출입이나 얼굴 비대칭 등 외형적인 문 제를 개선하기 위해 수술을 선택하는 환자들이 꾸준히 늘어나고 있다.
그러나 얼굴의 중심부를 이루는 상·하 악 구조를 이동시키는
과정에서 코와 비중격에도 영향 을 미칠 수 있다는 점은
상대적으로 간과되기 쉽다. 실제로 양악수술 후 코 모양의 변화나 비호흡 장애를 호 소하는 환자들이 점차 증가하고 있으며,
수술 후 코의 기능적·미용적 재건에 대한 중요성이 부각되고 있다. 양악수술은 상악과 하악을 얼굴뼈로부터 분리해 전진 이나 후진시켜 부정교합을 교정하는 수술이다. 미용 성형에서는 주로 돌출입을 교정하기 위해 상악을 후진 시키는 수술을 일반적으로 지칭한다. 이러한 상악뼈 수술의 경우 양쪽 광대뼈의 아래쪽뿐만 아니라 비중격 바닥 부분도 얼굴뼈에서 분리되어야
하기에 수술 후 비 중격 만곡이나 붕괴의 원인이 되며 이는
코끝의 퍼짐, 코막힘의 원인이 되기도 한다.
이번 호에서는 상악수술 후 코의 기능적·미용적 변형 을
비중격 재건과 코 성형으로 수술한 예를 리뷰하고자 한다
케이스 소개
1997년생 남자 환자가 지속적인 코막힘과 콧물을 증상으로
내원하였다. 양악수술과 코 필러 및 실 삽입 수술이력이 있었다. 수술 전 이학검사상 좌측에서 우측으로 의 역C형 사비가
보였으며 비주와 비공의 비대가 관찰되 었다


수술 전 사진. 역C형 사비와 흡기 시 우측 비익연골의 허탈이 확인되었다.
비주와 비공의 비대칭도 보였다
![]()
수술 전 CT. 비중격 만곡이 보였다. 골부와 연골부의 좌측 만곡과 spur가 관찰되며 전체적으로
C-shape deviation이 확인되었다. 비중격 만곡으로 인해 측면에서 비중격의 음영 소실도 보였다.
Cottle test에서는 좌측에서 positive가 관찰되 었으며, 흡기 시 우측 비익연골의 허탈이 관찰되었다. 내원 당시 시행한 CT상 비중격의 골부와 연골부 상단에서 좌측으로 만곡된 C-shape deviation이 확인되었다.
![]()
수술 전 CT. 비밸브 협착을 보였다. 비익연골의 내전과 비중격 미단 변형으로
인한 좌측 비밸브 협착이 확인되었다. 상악수술 후 삽입된 핀이 비골 바닥
부분에 산재되어 있다.
이러한 소견은 이전 양악수술에 의한 결과일 가능성이 있다. 또한 비익연골의 내전과 비중격 미단부의 변형으로 인한
좌측 비밸브 협착이 관찰되었다.
![]()
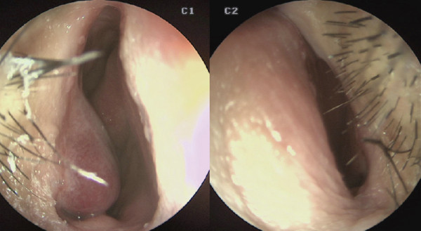
수술 전 비내시경. 비중격이 전체적으로 좌측으로 만곡되어 C-shape
deviation이 확인되었다. 미단부 변형으로 인해 좌측 비밸브 협착이 보였다.
비중격 만곡은 CT보다 내시경상에서 더 심하게 나타났다
내시경 검사에서는 CT에서보다 더 심한 비중격 만곡이 관찰되었으며, 비밸브 협 착이 보여 비중격 및 비밸브 교정술,
하 비갑개 점막 절제술을 계획하였다.
![]()
비중격 및 비밸브 교정 전. 연골부 일부가 이전 양악수술로 인해 소실된
모습이다. 비중격이 전체적으로 좌측 만곡되어 C-shape deviation이
확인되었다.
수술장 소견상 비중격 연골부 일부가 이전 양악수술로 인해 소실된 모습이 보였고, 전체적으로 좌측으로 만곡된 C-shape deviation이 확인되었다. 또 한 비익연골의 내전과 비중격 미단부의 변형으로 인해 좌측 비밸브 부위가 좁아져 있음이
관찰되었다.
![]()
수술 중 채취 재료. 8th costal cartilage
오른쪽 8th costal cartilage를 채취한 후, 좌측으로 휘어 있는 미단부 연골 부위를 nasal spine 우측으로 이동시켜 고정함으로써 비중격의 휨을 전체적으로 우 측으로 이동시켜
bone–cartilage의 휨을 일치시켰다.
좌측으로 휘어 있는 연골 부위를 nasal spine 우측으로 이동시킨 후 고정하여 비중격의 휨을 전체적으로 우측으로 이동시켜 bone-cartilage의 휨을 일치시켰다. 채취한 costal cartilage를 이용해 우측 비중격의 상단부터 미단까지 넓게 batten graft를 시행하여 전체적인 만곡을 교정하였으며, 남은 만곡을 교정하기 위해 우측 비중격 상·하단에 각각 batten-spreader graft를 시행하였다.
채취한 costal cartilage를 이용해 우측 비중격의 상단부터 미단까지 넓게 batten graft를 시행하여 전체 적인 만곡을 교정하였고, 남은 만곡을 추가로 교정하 기 위해 우측 비중격 상·하단에 각각 batten spreader graft를 시행하였다. 이후 고주파를 이용하 여 양측 하비갑개 점막에 coblation을 시행하였다.
양악수술 이후 코의 구조적 약화와 그 대응
![]()
콧등 융기 목적으로 제작된 실리콘, 거푸집, 연골 입자 몰딩
비중격 재건 후 자가늑연골을 이용하여 비중격연장술 을 시행하였다. 또한 콧등의 이물질(실)을 제거함과 동 시에, 실리콘 형태의 거푸집을 이용해 연골 입자를 몰 딩한 후 코에 이식하였다. 이러한 접근을 택한 이유는 양악수술 이후 실리콘을 사용할 경우 염증 발생 위험 이 높고, 염증이 발생하면 비중격 손상이 빠르게 진행 되기 때문이다. 따라서 이와 같은 경우에는 철저히 무보형물 방식으로 수술하는 것이 유리하다.
![]()
수술 후 사진. 사비 및 코끝 처짐과 콧대 불규칙 등이 개선되었다.
양악수술 후 코 성형에서는 비중격의 약화나 붕괴가 흔하게
발생하며, 이물질인 핀이 비골 바닥에 삽입되어 있는
경우도 많다. 이로 인해 코끝의 융기가 매우 어렵고,
비중격 염증에 기인한 코의 염증 빈도가 높아 예후 도 좋지 않다. 따라서 양악수술 이후의 코 성형은 기능 적 측면에서 비중격 재건이 반드시 동반되어야 하며, 코 성형 시에는 무보형물 방식이 가장 바람직하다









