바로코 빠른 상담

카카오 상담

전화상담

이벤트

TOP

온라인상담

진료예약

카카오톡

전후사진

오시는길

[김준 원장의 Dr. Note] 비골정복술과 자가연골이식술의 결합

profile_image
작성자바로코
댓글 0건
조회 82회
작성일 26-03-12 10:53

코는 얼굴에서 돌출된 구조 중 하나로, 호흡이 시작되는 창이다. 움직임이 많고 외부 충격에 쉽게 노출되는 탓에 코뼈 골절은 일상생활에서 흔히 발생하는 부상 중 하나이다. 실제로 코뼈, 즉 비골의 골절은 사람들이 살 아가면서 가장 자주 경험하는 골절 유형 중 하나로, 손과 발의 골절보다 더 흔하게 발생한다는 연구 결과도 있 다. 그만큼 코는 외부의 작은 충격에도 손상될 수 있으며, 이로 인해 다양한 후유증이 발생할 가능성이 크다.



5b20f0b2d5a7f90b24c2bdfd0ae62eeb_1773278735_0737.jpg
비골골절로 내원한 25세 남성 환자. 골절 후 7일이 경과되었다. 비골에 부종과 멍이 관찰된다. 정면 사진상 비골이 우측에서 좌측으로 휘어 보이며, 측면 사진상 비골의 울퉁불퉁이 관찰되고 밑에서 올려다본 사진에서는 비공과 비대칭 등을 확인할 수 있다.






비골은 단순히 코의 중앙에 위치한 뼈만을 의미하지 않는다. 주변에 안와뼈, 비중격연골, 상악 및 두개저뼈와 도 연결되어 있어 매우 복잡한 구조를 이루고 있다. 따라서 비골골절이 발생했을 때, 단순히 코뼈만 손상된 것이 아니라 이와 연결된 다른 부위에도 골절이 발생할 수 있어 함께 확인하는 것이 중요하다. 특히 안와뼈나 상악뼈의 골절이 동반될 경우 얼굴 전체의 구조에 영향을 미칠 수 있기에 정확한 진단과 처치가 필수적이다.




비골골절이 발생하면 코뼈가 원래 위치에서 어긋나면 서 주변 구조물에도 변형이 생길 수 있다. 특히 비중격 연골이 틀어지면 코가 휘어지거나 코막힘이 발생할 수 있다. 비중격은 코의 내부에서 공기가 지나가는 통 로를 구성하는 중요한 부분으로, 이 부위의 변형은 호흡 문제를 일으킬 수 있으므로 단순한 미용적 결함을 넘어서 일상생활에서의 불편함으로 이어질 수 있다. 

특히 성장기 어린이나 청소년의 경우 골절이 코의 비대칭 적 성장으로 이어질 수 있다. 성장기에는 뼈와 연골이 아직 발달하는 단계에 있기에 골절이 발생하면 그 부위 가 비정상적으로 자라거나 주변 조직과의 불균형이 생 길 수 있다. 단순한 외모의 변화뿐만 아니라, 호흡 장애 를 유발하여 얼굴 구조 전반에 영향을 미칠 수 있는 것 이다. 따라서 전위된 비골골절은 보통 폐쇄적 비골정복 술이라고 하는 술기를 통해 뼈를 맞춘다.







비골정복술의 문제점과 극복

하지만 전통적인 비골정복술은 한계가 있다. 코뼈가 얇은 지판으로 이루어져 있어 골절 후에도 완전히 원래의 형태로 복원하기 어렵고, 연골 골절이 동반된 경우 콧대 에 울퉁불퉁한 모양이 남거나 비중격이 휘는 사비가 발생할 수 있다.


이러한 결과는 미용적 인 문제뿐만 아니라 호흡에도 영향을 미칠 수 있어, 환자와 의 사 모두에게 만족스럽지 않은 결과를 초래할 수 있다. 또한 비 골정복술을 비성형과 동시에 시행할 경우 수술 후 부종과 출혈이 심하게 나타날 수 있는데 수술 과정과 회복 과정이 더욱 어려워진다.




5b20f0b2d5a7f90b24c2bdfd0ae62eeb_1773279063_099.jpg
 


이러한 문제를 해결하기 위해 최근에는 효과적인 대안으로 비골정복술과 동시에 자가연골 을 이식하는 연골입자이식술이 사용된다. 자가연골은 환자의 귀, 갈비뼈 등에서 채취한 연골 을 사용하기 때문에 거부반응 이나 염증의 위험이 낮고, 인공 보형물에 비해 자연스럽고 부드러운 결과를 얻을 수 있다. 특히 연골 입자는 작은 조각으로 만들어져 있어 콧대의 굴곡을 메우는 데 뛰어난 효과를 보이며, 울퉁불퉁한 부분을 매끄럽게 만들어주는 동시에 코의 구조적 안정성을 높이는 데 도움이 된다. 이를 통해 수술 후 발 생할 수 있는 콧대의 불규칙함이나 사비를 예방할 수 있으며, 미용적 결과와 기능적 결과를 동시에 개선할 수 있다.



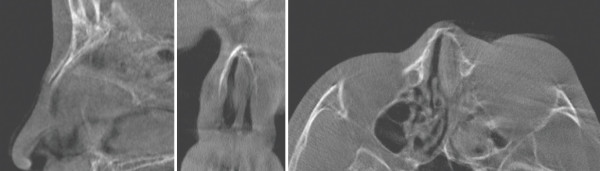
5b20f0b2d5a7f90b24c2bdfd0ae62eeb_1773279369_4318.jpg
CT상 비골의 복합 골절이 관찰된다. 측면에서는 비골의 함몰, 정면과 밑면에서는 비골의 좌측 이동과 동반된 비중격의 골절을 확인할 수 있다. 이러한 비골과 비중격 골절을 방치한다면 안장코 변형과 코막힘을 초래할 수 있다.





5b20f0b2d5a7f90b24c2bdfd0ae62eeb_1773279454_3982.jpg
밑면에서 비주 절개선 없이 코안 절개로 비골정복 및 연골 입자 주입을 실시하여 7일이 경과한 모습. 부기가 매우 적다. 정면에서 사비의 교정과 콧대의 융기가 관찰된다. 측면 사진상 콧대가 일자로 교정되었음을 확인할 수 있다.





5b20f0b2d5a7f90b24c2bdfd0ae62eeb_1773279494_722.jpg 

비골정복 및 연골 입자 주입 후 1개월째. 부기가 대부분 빠지고 정면·측면·밑면 사진상 이전에 비해 콧대와 코끝 융기와 사비 교정 등을 확인할 수 있다. 코안 흉터는 보이지 않는다.









결론 

연골이식은 보통 코안 절개로 진행하며 골절정복과 동시에 주사 형태로 삽입한다. 또한 이식된 연골의 생착과 연골이 퍼지는 것 을 막기 위해 자가혈 유래 PRF (Platelet Rich Fibrin)를 섞 는다. 일반적으로 코안 절개로 코끝과 비골 부위의 박리 후 boies elevator로 비골 정복을 먼저 시행한다.


일반적으로 다진 연골은 편의를 위해 귀연골을 사용하며 다진 연골과 자가 혈이 포함된 연골주사로 조심히 이식한다.


비골의 골절은 흔히 접하는 질환이다. 비골골절이 있다면 통상적인 골절 정복은 안장코 변형이나 사비 등의 미용적 불만 족이 남는 경우가 많다. 일반적인 코 성형은 시간적·경제적 비용이 심하며 또한 성장기의 청소년에게는 과잉 진료의 소지가 있다. 이때 골절정복과 함께 연골 입자의 이식을 통한 미용수술은 

훌륭한 대안이 될 수 있다.  





5b20f0b2d5a7f90b24c2bdfd0ae62eeb_1773280253_0284.jpg
 

비골골절로 내원한 15세 남성 환자. 수상 후 5일이 경과한 모습. 수상에 의한 안와골절과 비골골절, 비중격 골절 등이 동반되었다. 정면 사진상 좌측 눈과 코 주변에 부종과 멍이 관찰된다. 측면 사진상 콧대에 안장코 변형, 밑면 사진상 비공의 비대칭을 확인할 수 있다




5b20f0b2d5a7f90b24c2bdfd0ae62eeb_1773280340_1782.jpg
 

수술 전 CT scan. 좌측 안와 주변에 심한 부종이 관찰된다. 주로 좌측 비골골절과 비중격의 안장코 변형을 확인할 수 있다.



5b20f0b2d5a7f90b24c2bdfd0ae62eeb_1773280414_625.jpg
비골정복 및 연골 입자 이식 후 2주째. 정면 사진상 콧대의 융기, 측면 사진상 안장코 변형이 교정되었음을 확인할 수 있다. 콧대와 코끝에 융기도 관찰된다. 밑면 사진상 절개선이 전혀 보이지 않으며, 비공의 비대칭도 어느 정도 개선이 되었다. 
 

[김준 원장의 Dr. Note] 기증진피 코 성형의 부작용과 한계

기증진피는 사체에서 추출한 진피를 방사선 처리하여 세포를 제거하고 섬유조직만 남긴 조직으로, 여러 의료 분야에서 광범위하게 사용되고 있는 중요한 재료이다.  세포를 제거함으로써 면역반응을 최소화하고 체내 이 식 후 거부반응을 줄이는 특징이 있다. 주로 화상이나 외상 후 피부이식, 유방재건술, 갑상선 수술 후 유착 방지, 회전근개 파열 치료, 임플란트 수술 시 잇몸 결손 부위 보완, 남성 수술 등에서 사용되며, 이외에도 다양 한 의료 절차에서 유용하게 활용되고 있다. 기증진피는 특히 코 성형에서 중요한 역할을 한다.기존 코성형에서 자주 사용되던 실리콘 보형물은 일부 환자에서 염증이나 거부반응을 일으킬 수 있는 단점이 있었다. 또한 자가조직을 사용하는 경우 공여부에 큰 상처를 남기거나 추가적인 수술이 필요할 수 있는 부담 이 있다. 이러한 한계를 극복하기 위해 기증진피가 널 리 활용되고 있으며 안전성과 효과 면에서 높은 평가 를 받고 있다. 환자의 체내에 이식 시에도 부작용의 위 험이 상대적으로 적다.코성형에서 기증진피는 코의 모양을 개선하거나 구조적 결함을 보완하는 데 사용되는데 결손이 있는 부위 등에서 유용하게 쓰인다. 콧등에 전체적으로 쓰거나, 귀연골을 대신하여 코끝에 onlay(기증진피나 다른 이 식재를 코의 표면, 코끝, 콧등에 얇게 덧대 어 모양을 교정하는 기술) 방식으로 미세한 굴곡 등을 교정하는 데 활용한다. 실리콘 비침 현상을 방지하기 위해 막 형태로 덮어 서 쓰기도 한다. 필자 또한 십수 년간 기증 진피를 이용한 코 성형을 시행하였는데, 실리콘의 부작용이나 무보형물 성형의 단점을 해결하는 데 좋은 재료로 사용하였다. 상용 제품으로는 MEGADERM, ALLODERM, SUREDERM 등이 있다.기증진피는 코 성형의 안전성과 결과를 향상시키는 중요한 재료로 자리 잡았지만, 이 역시 부작용과 한계가 존재한다. 이번 호에 서는 기증진피를 사용한 코 성형에서 나타 날 수 있는 부작용과 기증진피의 한계에 대 해 임상 케이스를 들어 소개하고자 한다.다양한 기증진피 제품들임상에서의 기증진피 문제 앞서 소개한 것처럼 코 성형에 유용한 재료로 기증진피 를 활용하고 있지만, 콧등을 높이는 데에 제한이 있고 (3~4㎜가 한계), 수술 후 흡수라는 문제가 비교적 흔하게 발생하는 편 이다. 무엇보다도 염증 확률이 실리콘에 비해 낮기는 하지만, 염증이 한 번 발생하면 항생제에 잘 반응하지 않는 균이 동정되는 경우가 많다. 그 밖에도 주변 조직의 손상이 크다거나 재수술 시 제거가 힘들다는 문제 등을 경험하였다. 이러한 부작용을 충분히 이해하고 신중하게 선택하는 자세가 필요하다고 할 수 있다. 기증진피의 경우 주로 2~6개월 사이에 신생혈관이 생기면서 생착이 된다. 출처 : Characterization and Tissue Incorporation of Cross-Linked Human Acellular Dermal Matrix, 이주희 외, Biomaterials, 2015 Mar;44:195-20 5. doi: 10.1016/j.biomaterials.2014.12.004. Epub 2015 Jan 14.일반적으로 기증진피가 이식되면 주 변 경계조직에서 신생 혈관이 발생 한다. 코의 경우 2~6개월 사이에 집 중적으로 혈관 생성과 생착이 이루어진다. 생착이 이루어지지 않은 진 피조직으로 흡수가 일어나는데 이때 주로 supratip 부위가 함몰되거나 높이가 낮아지는 현상이 나타난다. 흡수를 낮추기 위해 자가혈에서 추 출한 PRP나 PDRN 등을 수술 중에 뿌려주는 방법이 있으나 효과는 확 실치 않다. 일반적으로 피부가 지성이고 두꺼운 경우 흡수가 더 잘 일어 나는 경향이 있다① 구축된 상태 ② 기증진피 수술 2개월 후 ③ 기증진피 수술 1년 후 ④ 귀연골을 이용한 꺼진 부위 복원. ① 이물질에 의한 염증 상태 ② 염증 제거 후 ③ 기증진피 수술 1개월 후 ④ 기증진피 수술 1년 후. 이물질로 인해 코에 염증이 발생한 경우 수술 후 기증진피의 흡수가 심할 수 있는데 혈액순환 장애가 원인으로 추정된다. ⑤ 자가연골 수술 1년 후. 자가연골을 이용하여 콧대를 더욱 높였다. 기증진피의 흡수는 염증으로 인한 구축코 혹은 안장코와 같은 구조적 변형이 있을 때 더욱 빈번하고 심하게 발생하는 경향이 있다. 아마도 혈액순환 장애나 비중격의 구조적 결함으로 인한 연골의 수축 때문으로 추정된다. ① 수술 전(코뼈 골절) ② 기증진피 수술 1개월 후 ③ 수술 1년 후 흡수된 상태 ④ 귀연골을 이용한 복원. ① 수술 전 ② 기증진피 수술 1개월 후 ③ 기증진피 수술 3개월 후. 코끝과 콧대의 굴곡이 개선되었으나 염증이 나타나 코끝 처짐과 주변부에 파임이 발생한 상태 ④ 수술장 모습. 귀연골을 이용한 복원. 코끝과 콧대에 굴곡이 개선되었으나 3개월째 염증이 나타나 코끝 처짐과 주변부에 파임이 발생한 상태. 수술장 소견상 G(-) pseudimonas가 배양되었으며 비익연골 한쪽이 소실된 상태여서 귀연골을 이용하여 복원하였다따라서 이전 의 염증으로 인한 피부 구축이 심한 경우나 안장코처럼 코 구조가 취약한 경우 기증진피 흡수가 더욱 심하게 발생할 수 있으므로 다른 재료를 이용한 콧대 융기를 고려하는 것이 좋다. 실리콘이나 자가 연골을 사용할 수 있으면 자가연골을 이용한 콧대 사용이 일반적으로 더 유용하다.기증진피를 활용한 코 성형의 부작용 중 하나는 염증 증상이다. 실리콘에 비해 그 비율은 낮지 만 염증 정도가 심하고 일반적인 항생제로는 조 절이 안 되는 특징이 있다. 염증이 발생한 경우 MRSA와 같은 내성균이나 G(-) peudomonas, E coli 등이 배양되는 경우도 실리콘에 비해 흔 하다. 이 경우 주변 조직의 파괴가 더 심하며 코 끝 변형이 심하게 올 때가 많다. 따라서 일반적 인 항생제에 G(-)를 커버할 수 있는 항생제를 추가로 사용하는 것이 좋다. 이러한 부작용 이 외에도 피부 트러블 혹은 코에서 냄새가 난다 고 호소하기도 하는데 다른 재료에 비해 기증 진피의 경우가 비교적 흔하다. 재수술이라면 피부의 딱딱함으로 인해 제거하기가 힘들다는 단점도 있다. 지금까지 기증진피를 이용한 콧대·코끝 융비술 과 이에 따른 다양한 부작용에 대해 알아보았 다. 기증진피가 코 성형에 사용되는 유용한 재료 이기는 하지만 재료의 선택과 관리 그리고 부작용에 대한 충분한 배경 지식을 가지고 사용하는 것이 중요하며, 자가연골을 이용한 콧대·코끝 융비술이 대안이 될 수 있다

Date : 2026-03-23

HIT : 89

[김준 원장의 Dr. Note] 비골정복술과 자가연골이식술의 결합

코는 얼굴에서 돌출된 구조 중 하나로, 호흡이 시작되는 창이다. 움직임이 많고 외부 충격에 쉽게 노출되는 탓에 코뼈 골절은 일상생활에서 흔히 발생하는 부상 중 하나이다. 실제로 코뼈, 즉 비골의 골절은 사람들이 살 아가면서 가장 자주 경험하는 골절 유형 중 하나로, 손과 발의 골절보다 더 흔하게 발생한다는 연구 결과도 있 다. 그만큼 코는 외부의 작은 충격에도 손상될 수 있으며, 이로 인해 다양한 후유증이 발생할 가능성이 크다.비골골절로 내원한 25세 남성 환자. 골절 후 7일이 경과되었다. 비골에 부종과 멍이 관찰된다. 정면 사진상 비골이 우측에서 좌측으로 휘어 보이며, 측면 사진상 비골의 울퉁불퉁이 관찰되고 밑에서 올려다본 사진에서는 비공과 비대칭 등을 확인할 수 있다.비골은 단순히 코의 중앙에 위치한 뼈만을 의미하지 않는다. 주변에 안와뼈, 비중격연골, 상악 및 두개저뼈와 도 연결되어 있어 매우 복잡한 구조를 이루고 있다. 따라서 비골골절이 발생했을 때, 단순히 코뼈만 손상된 것이 아니라 이와 연결된 다른 부위에도 골절이 발생할 수 있어 함께 확인하는 것이 중요하다. 특히 안와뼈나 상악뼈의 골절이 동반될 경우 얼굴 전체의 구조에 영향을 미칠 수 있기에 정확한 진단과 처치가 필수적이다.비골골절이 발생하면 코뼈가 원래 위치에서 어긋나면 서 주변 구조물에도 변형이 생길 수 있다. 특히 비중격 연골이 틀어지면 코가 휘어지거나 코막힘이 발생할 수 있다. 비중격은 코의 내부에서 공기가 지나가는 통 로를 구성하는 중요한 부분으로, 이 부위의 변형은 호흡 문제를 일으킬 수 있으므로 단순한 미용적 결함을 넘어서 일상생활에서의 불편함으로 이어질 수 있다. 특히 성장기 어린이나 청소년의 경우 골절이 코의 비대칭 적 성장으로 이어질 수 있다. 성장기에는 뼈와 연골이 아직 발달하는 단계에 있기에 골절이 발생하면 그 부위 가 비정상적으로 자라거나 주변 조직과의 불균형이 생 길 수 있다. 단순한 외모의 변화뿐만 아니라, 호흡 장애 를 유발하여 얼굴 구조 전반에 영향을 미칠 수 있는 것 이다. 따라서 전위된 비골골절은 보통 폐쇄적 비골정복 술이라고 하는 술기를 통해 뼈를 맞춘다.비골정복술의 문제점과 극복하지만 전통적인 비골정복술은 한계가 있다. 코뼈가 얇은 지판으로 이루어져 있어 골절 후에도 완전히 원래의 형태로 복원하기 어렵고, 연골 골절이 동반된 경우 콧대 에 울퉁불퉁한 모양이 남거나 비중격이 휘는 사비가 발생할 수 있다.이러한 결과는 미용적 인 문제뿐만 아니라 호흡에도 영향을 미칠 수 있어, 환자와 의 사 모두에게 만족스럽지 않은 결과를 초래할 수 있다. 또한 비 골정복술을 비성형과 동시에 시행할 경우 수술 후 부종과 출혈이 심하게 나타날 수 있는데 수술 과정과 회복 과정이 더욱 어려워진다. 이러한 문제를 해결하기 위해 최근에는 효과적인 대안으로 비골정복술과 동시에 자가연골 을 이식하는 연골입자이식술이 사용된다. 자가연골은 환자의 귀, 갈비뼈 등에서 채취한 연골 을 사용하기 때문에 거부반응 이나 염증의 위험이 낮고, 인공 보형물에 비해 자연스럽고 부드러운 결과를 얻을 수 있다. 특히 연골 입자는 작은 조각으로 만들어져 있어 콧대의 굴곡을 메우는 데 뛰어난 효과를 보이며, 울퉁불퉁한 부분을 매끄럽게 만들어주는 동시에 코의 구조적 안정성을 높이는 데 도움이 된다. 이를 통해 수술 후 발 생할 수 있는 콧대의 불규칙함이나 사비를 예방할 수 있으며, 미용적 결과와 기능적 결과를 동시에 개선할 수 있다.CT상 비골의 복합 골절이 관찰된다. 측면에서는 비골의 함몰, 정면과 밑면에서는 비골의 좌측 이동과 동반된 비중격의 골절을 확인할 수 있다. 이러한 비골과 비중격 골절을 방치한다면 안장코 변형과 코막힘을 초래할 수 있다.밑면에서 비주 절개선 없이 코안 절개로 비골정복 및 연골 입자 주입을 실시하여 7일이 경과한 모습. 부기가 매우 적다. 정면에서 사비의 교정과 콧대의 융기가 관찰된다. 측면 사진상 콧대가 일자로 교정되었음을 확인할 수 있다. 비골정복 및 연골 입자 주입 후 1개월째. 부기가 대부분 빠지고 정면·측면·밑면 사진상 이전에 비해 콧대와 코끝 융기와 사비 교정 등을 확인할 수 있다. 코안 흉터는 보이지 않는다.결론 연골이식은 보통 코안 절개로 진행하며 골절정복과 동시에 주사 형태로 삽입한다. 또한 이식된 연골의 생착과 연골이 퍼지는 것 을 막기 위해 자가혈 유래 PRF (Platelet Rich Fibrin)를 섞 는다. 일반적으로 코안 절개로 코끝과 비골 부위의 박리 후 boies elevator로 비골 정복을 먼저 시행한다.일반적으로 다진 연골은 편의를 위해 귀연골을 사용하며 다진 연골과 자가 혈이 포함된 연골주사로 조심히 이식한다.비골의 골절은 흔히 접하는 질환이다. 비골골절이 있다면 통상적인 골절 정복은 안장코 변형이나 사비 등의 미용적 불만 족이 남는 경우가 많다. 일반적인 코 성형은 시간적·경제적 비용이 심하며 또한 성장기의 청소년에게는 과잉 진료의 소지가 있다. 이때 골절정복과 함께 연골 입자의 이식을 통한 미용수술은 훌륭한 대안이 될 수 있다.   비골골절로 내원한 15세 남성 환자. 수상 후 5일이 경과한 모습. 수상에 의한 안와골절과 비골골절, 비중격 골절 등이 동반되었다. 정면 사진상 좌측 눈과 코 주변에 부종과 멍이 관찰된다. 측면 사진상 콧대에 안장코 변형, 밑면 사진상 비공의 비대칭을 확인할 수 있다 수술 전 CT scan. 좌측 안와 주변에 심한 부종이 관찰된다. 주로 좌측 비골골절과 비중격의 안장코 변형을 확인할 수 있다.비골정복 및 연골 입자 이식 후 2주째. 정면 사진상 콧대의 융기, 측면 사진상 안장코 변형이 교정되었음을 확인할 수 있다. 콧대와 코끝에 융기도 관찰된다. 밑면 사진상 절개선이 전혀 보이지 않으며, 비공의 비대칭도 어느 정도 개선이 되었다.  

Date : 2026-03-12

HIT : 83

[김준 원장의 Dr. Note] 자가연골을 이용한 Occult Cleft Nose 교정

Cleft nose는 두 차례 다루었을 만큼 코 성형 분야에 서 도전적인 문제이다. 구순구개열이 동반된 코 성형의 경우 코바닥, 비중격, 비익연골 등의 이상이 복합적으 로 동반되기 때문이다. 이번 호에서는 occult cleft nose 환자에게 자가연골을 이용하여 기능적 코 성형을 시행한 케이스를 다룬다케이스 소개정면 사진상 좌측 비공이 넓고, 비주가 좌측으로 휘어 있으며, 좌측 palate의 저형성이 동반된 심한 비공 비대칭을 보이는 occult cleft nose가 관찰되었다 지속적인 코막힘, 특히 흡기 시 코막힘과 콧물을 증상으로 2007년생 남성 환자가 내원하였다. 수술 전 이학 검사와 정면 사진에서 좌측 비공이 넓고, 비주가 좌측 으로 휘어 있으며, 좌측 palate의 저형성이 동반된 심 한 비공 비대칭을 보이는 occult cleft nose가 관찰되 었다. 수술 전 CT. 좌측 비중격 부위의 bone 결손과 비중격의 전반적인 좌측 만곡, 비밸브 협착이 관찰되었다. 이러한 뼈의 결손은 비중격의 상악 부위에서도 함께확인되었다Cottle test에서 좌측 positive가 관찰되었으며, 흡기 시 우측 비익연골의 허탈 소견을 보였다. 내원 당 시 시행한 CT상 occult cleft lip and palate와 좌측 maxilla 일부의 결여를 보였으며, nasal spine 좌측 이 소실되어 있었다. 비중격 상단에서 골부에 걸쳐서 좌측으로 high septal deviation 소견을 보였으며, 우측 caudal septum이 좌측으로 심하게 전위된 결과 가 관찰되었다. 또한 비익연골의 내전과 비중격 미단부 변형으로 인한 좌측 비밸브 협착도 보였다 선천적인 변형으로 인한 비밸브 협착도 발견되었다. 비중격 및 비 밸브 교정술, 하비갑개점막절제술 및 좌측 palateaugmentation을 계획하였다. 비중격의 미단부를 비가시(nasal spine) 및 상악에서 분리하여 좌측으로 더욱 이동시킨 후, 비중격의 bone portion에서 bone chip 일부를 채취하여 비중격의 우 측에 batten graft를 시행하였다. 수술장에서 채취한 비중격연골 및 bone 복합체채취한 8번 늑연골과 다진 연골을 이용하여 비중격을 교정하였으며, 좌측 palate를 융기시켰다상단부 비중격 만곡 교정을 위해 채취한 8번 늑연골의 일부를 이용하여, 결 손된 좌측 비가시 상악 부위에 늑연골 일부를 이식하여 교정하였다.수술장 소견. 비중격의 만곡과 부분적인 결손이 관찰되었다. 좌측 상악부의 결손이 확인되었으며, 비중격 미단 하단부가 비가시(nasal spine) 좌측으로 휘어 있는 상태였다. 뼈 결손은 비가시의 좌측 부위와 비중격 골부에서도 일부 관찰되었다. 상대적으로 비중격 상단부 역시 좌측으로 만곡되어 있었다.교정된 비중격 연골의 미단부 양측에 자가늑연골을 이용한 비중격연장술을 시행하였다. 비대칭인 비익연골을 교정하기 위해 우측 비익연골은 유지하고, 좌측 비익연골만 release하여 상대적으로 좌측 비익연골을 비중격연장술에 맞추어 교정하였다. 높이 차이가 심한 경우에는 정상 측 비중격의 연장술로 연장된 연골을 일부 절제하거나, 병변 측에 rim graft 등을 시행하여 교정하기도 한다.수술장 교정 후. 비중격 bone chip을 이용하여 우측에 batten graft를 시행하였다. 좌측 비가시 부위의 상악 결손 부위에 자가늑연골을 이식하여  함몰된 부분을 융기시켰다.또한 좌측 병변 측 alar base를 따라 절개를 가하고, 콧구멍 바닥의 medial 쪽으로 절개를 연장하여 medial rotation flap을 통해 넓은 비익저를 개선하였다. 자가늑연골을 다져 콧등에 injection rhinoplasty 방식으로 융비를 시행하였다. alar base를 따라 절개를 가하고, 콧구멍 바닥의 medial 쪽으로 절개를 연장하여 medial rotation flap을 통해 넓은 비익저를 개선하였다. 자가늑연골을 다져 콧등에 injection rhinoplasty 방식으로 융비를 시행하였다수술 직후. 코의 하단부 사비가 교정되었고, 코끝의 처짐과 콧대의 불규칙함이 개선되었다. 비공의 비대칭은 일부 남아 있었으나 이전에 비해 호전되었으며, 코바닥의 좌측 함몰 또한 개선되었다.구순구개열은 선천성 기형 중 비교적 흔하게 발생하는 형태이다. 구순구개열은 여러 가지 유형이 있으나 성인 기에는 주로 콧구멍 비대칭, 코끝의 함몰과 퍼짐, 코막 힘 등을 주소로 내원하는 경우가 많다. 구순구개열 환 자의 코에서 흔히 관찰되는 특징은 다음과 같다.① 병변 측 상악의 결손으로 인해 비중격연골의 미단부 가 휘어 있는 경우가 많다. ② 병변 측 상악의 결손으로 인해 코바닥이 반대 측에 비해 함몰되어 있다. ③ 병변 측 비익연골이 작거나 퍼져 있는 양상이 동반 되는 경우가 많다. 이러한 특징으로 인해 구순구개열 코 수술은 난도가 높 으며, 수술 결과 또한 만족스럽지 못한 경우가 있다. 이러 한 문제를 해결하기 위해 다양한 교정 방법이 사용된다. ① 비중격연골의 미단부를 비가시 기준으로 좌우 이동 시켜 골부와 연골부의 만곡 방향을 일치시킨 후, 휘어 있는 반대 방향에 견고한 batten graft를 시행하여 보강한다. ② 함몰된 상악 부위, 특히 비가시에 인접한 골 결손 부위에는 뼈 시멘트나 연골이식을 통해 볼륨을 보강한 다. 특히 연골 block과 연골 입자를 복합이식하는 방법 이 유용하다. ③ 퍼져 있고 작은 병변 측 비익연골은 비중격연장술과 함께 비대칭적으로 교정하거나, 보다 강력하게 교정하 여 비대칭을 최소화한다. 필요시 병변 측 기저부(base) 를 절제하거나 rotation flap을 통해 넓은 기저부를 교 정한다.④ 콧구멍의 높이 차이를 교정하기 위해 병변 반대 측 연골은 alar release를 시행하지 않고, 병변 측만 release한 뒤 ESG(Extended Spreader Graft)를 비 대칭적으로 적용하여 병변 측을 더 높게 교정한다. 이와 같은 방법들은 비교적 간단하면서도 임상적으로 유용한 교정 전략이다. 특히 최근에는 자가골을 이용 하여 비대칭적인 비중격연장술을 시행하고 이때 남은 연골을 이용하여 콧대나 코바닥의 높이를 교정하는 것 이 매우 유용하다.

Date : 2026-02-27

HIT : 105

[김준 원장의 Dr. Note] 코 성형의 역사와 재료의 변화 Ⅱ

코 성형은 수술 기술뿐 아니라 사용되는 재료에서도 큰 변화를 겪으며 발전해 왔다. 초기 코 성형에서는 상아와 파라핀 같은 재료가 사용되었다. 상아는 단단하고 견고한 특성 덕분에 적합한 재료로 여겨졌지만, 공급이 제한적이고 가공이 어렵다는 단점이 있었다. 또한 파라핀은 처음에는 조직에 쉽게 적용될 수 있다는 이 유로 주목받았으나, 시간이 지나면서 부작용이 심각하 다는 점이 드러났다. 파라핀이 체내에서 조직과 반응하 며 부종을 유발하거나 크기가 비정상적으로 커지는 현상이 발생해 결국 더 이상 사용되지 않게 되었다.코 성형 재료로서 실리콘의 역사는 1900년대로 거슬러 올라간다. 실리콘은 모래와 점토를 이루는 규소 성 분에 산소와 수소 등을 결합하여 만든 인공 화합물이다. 이 재료는 물이나 열에도 변형되지 않는 안정성을 가지고 있어 제2차 세계대전 당시 다양한 군용 장비에 사용되었다.그렇다면 군납용으로 쓰이던 실리콘이 어떻게 인체에 사용되기 시작했을까? 종전 후 일본에서 실리콘의 새로운 용도가 등장했다. 당시 일본에서는 여성들 사이에서 큰 가슴과 또렷한 코를 만드는 성형이 유행했다. 일본 내 미군을 상대로 장사하던 곳들이 서구적인 미적 기준을 충족시키기 위해 외모를 변화시키는 요구가 많았기 때문이다.실리콘 성형의 도입과 초기 활용1945년 8월 설립된 특수위안시설협회(Recreation and Amusement Association). 일본 여성들은 미군의 성적 취향에 맞추기 위해서 적극적으로 코와 가슴 성형 수술을 받았다초기 성형 재료로 사용되었던 파라핀과 같은 이물질은 온도와 물에 반응하여 조직 내에서 심각한 부작용을 유발했다. 파라핀은 시간이 지나면서 조직과 반응하여 부풀거나 염증을 유발했고, 의사들에게 큰 고민거리로 작용했다. 당시 의료진은 안전하고 신뢰할 수 있는 대 체 재료를 찾는 데 집중했으며, 전쟁 후 재고로 쌓여 있던 실리콘에 주목하게 되었다.실리콘은 물리적·화학적으로 안정적인 특성을 가지고 있어 이상적인 재료로 평가받았다. 실리콘 수지는 비활성 물질로, 체내 조직과의 이상반응이 적고 물이나 열 에도 변형되지 않는 장점이 있었다. 이러한 특성은 코와 가슴 등 체내 조직을 확대하거나 복원하는 데 적합했 다. 성형외과 의사들은 이러한 특성에 주목하며, 실리콘을 사용해 새로운 성형 기술을 개발하기 시작했다. 초기 코 성형에 사용된 실리콘은 코 안쪽 절개를 통해 삽 입되었다. 의사들은 실리콘을 L자 형태로 가공하여 콧대와 코끝을 동시에 보완하는 방식으로 사용했다. L자형 실리콘은 콧대를 높이고 코끝을 들어 올리며 서구적인 코 모양을 만들어냈다. 비교적 간단한 수술을 통해 즉각적인 결과를 경험할 수 있었고, 실리콘 코 성형은 빠르게 대중화되었다. 특히 L자형 실리콘은 안정적으로 코의 구조를 지지하 면서 환자의 얼굴에 맞는 자연스러운 형태를 만들어내 는 데 기여했다. 실리콘은 다른 재료에 비해 부작용이 적고 내구성이 뛰어나 코 성형의 재료로서 빠르게 자리 잡았다초기에 사용되었던 L자 형태의 실리콘 보형물. 피부가 얇은 콧등 부위만 살색으로 제작하여 비침 등을 보완한 형태의 L자 실리콘도 사용되었다.코 모양을 만들어냈다. 비교적 간단한 수술을 통해 즉 각적인 결과를 경험할 수 있었고, 실리콘 코 성형은 빠 르게 대중화되었다. 특히 L자형 실리콘은 안정적으로 코의 구조를 지지하 면서 환자의 얼굴에 맞는 자연스러운 형태를 만들어내 는 데 기여했다. 실리콘은 다른 재료에 비해 부작용이 적고 내구성이 뛰어나 코 성형의 재료로서 빠르게 자리 잡았다.실리콘의 한계와 고어텍스의 등장초기 실리콘 코 성형은 안정적인 결과와 간단한 수술 과정으로 많은 주목을 받았지만, 실리콘이 골막 내에 정확히 삽입되지 않거 나, 환자의 피부가 얇은 경우 실리콘이 비치는 현 상이 종종 발생했다. 또 한, 코 성형에서 실리콘 의 가장 큰 단점 중 하나 는 세균 감염으로 인한 염증 발생이었다. 연구에 따르면, 실리콘 삽입 후 감염으로 인한 염증 발생률은 약 2~7%에 달했다. 이 염증은 수술 후 비교적 초기부터 나타날 수 있으며, 적 절히 관리하지 않으면 심각한 부작용으로 이어질 수 있었다. 무엇보다도 실리콘이 장기간 코 안에 머물 경 우, 주변 조직에 단단한 캡슐이 형성되는 현상이 심심 찮게 관찰되었다. 이로 인해 코가 쪼그라들거나 변형 되는 부작용이 나타나 환자의 불편함과 재수술의 필요 성을 증가시켰다.Gore-Tex.이 과정에서 등장한 것이 바로 고어텍스(Gore-Tex)였 다. 고어텍스는 폴리테트라플루오로에틸렌(Poly tetrafluoroethylene, PTFE)으로 구성된 소재로, 1960년대 Gore에 의해 개발되었다. 처음에는 의류, 석유, 자동차, 전자 등의 산업 분야에서 활용되었지만, 그 안정성과 내구성 덕분에 의학 분야에서도 관심을 끌게 되었다.1989년 Rothstein은 코 성형에 사용했을 때의 안정성 을 보고하여, 고어텍스가 널리 사용되는 계기를 마련했다. 고어텍스는 미세한 다공성 구조를 가지고 있어 체 내에서 조직과 융합되기 용이했다. 실리콘과 달리 비침 현상이 거의 없고 이물반응이 적다는 장점을 제공했음 은 물론, 조직 내에서 자연스럽게 융합되면서 코의 모양 을 안정적으로 유지할 수 있었다. 실리콘의 단점을 보완 하는 데 매우 효과적이었던 것이다.2000년대 들어 고어텍스는 실리콘을 대체하는 완벽한 재료로 자리 잡았다. 특히 코 성형에서는 고어텍스의 안정성과 자연스러운 결과 덕분에 의사들과 환자들에 게 큰 호응을 얻었다. 의사들은 고어텍스를 사용하여 부작용을 최소화하면서도 환자들에게 더 나은 결과를 제공할 수 있었다. 고어텍스는 삽입 후 장기간 안정적으 로 유지되었고, 염증이나 변형의 발생률이 현저히 낮아 환자들의 만족도를 크게 높였다.그러나 고어텍스 표면의 미세한 구멍을 통해 감염 가능성이 실리콘보다 다소 높다는 점이 지적된다. 고어텍스 를 사용한 성형 수술에서는 약 4~7%의 비율로 세균 감염에 의한 염증이 발생할 수 있다. 또한 장시간 체내 에 남아 있을 경우 주변 뼈가 흡수되는 경향이 있기도 하다. 이는 고어텍스가 주변 조직과 융합되는 과정에서 발생할 수 있는 부작용으로, 시간이 지나면서 코의 구 조가 약화되거나 변형될 위험을 증가시킨다.자가 조직 사용의 증가 비중격 연골2000년대부터 실리콘과 고어텍스는 코 성형의 주요 재 료로 널리 사용되었지만, 아무리 깨끗한 환경에서 최적 의 수술로도 컨트롤되지 않는 염증, 구축, 탈출 등의 부작용은 여전히 해결해야 할 과제였다.2000년대 들어 움직임이 많은 코끝 부위에서 부작 용을 막기 위한 노력으로 인체 조직의 사용이 크게 증가하였다. 2010년대에 들어서는 이러한 자가 조직 사용이 코끝뿐만 아니라 콧대에도 확대되며, 자연스럽고 안정적인 결과를 추구하는 성형 방식으로 자리 잡았다.코 성형에서 가장 흔히 사용되는 자가 조직은 비중격 연골이다. 비중격 연골은 한 필드에서 간편하게 채취할 수 있으며, 부드러움과 강도가 주변 조직과 비슷하고 흡수 되지 않아 안정적인 결과를 제공한다. 비중격 연골은 이 상적인 코 성형 재료로 평가받고 있으나, 동양인의 경우 비중격 연골의 양이 적고, 코를 지탱하는 주요 구조물이 라는 점에서 과도한 채취는 구조적인 무너짐을 초래할 수 있다. 특히 재수술의 경우 수술 시간의 절반이 손상 된 비중격을 재건하는 데 사용되는데, 비중격 연골 채취가 초래하는 치명적인 부작용이라 할 수 있다.​귀연골과 늑연골귀연골은 특유의 곡선 형태와 부드럽지만 질긴 성질 덕 분에 코 성형에서 다양하게 활용되고 있다. 특히 코끝 겹이식이나 방패이식에 자주 사용되었다. 비중격 연골 채취로 인한 부작용을 피하기 위해서 귀연골이 비중격 연장술에도 효과적으로 사용되고 있다. 귀연골은 코 성형 중 촉진과 시진만으로 연골의 크기와 사용 가능 여부를 쉽게 확인할 수 있다는 장점이 있다. CT 등의 장비 없이도 적합한 연골을 선택할 수 있는 것 이다. 귀연골 곡선의 특성을 이용하고, 힘을 적절하게 이용한다면 코끝연장술에서도 반듯하고 안정적인 결 과를 얻을 수 있다. 최근에는 귀연골을 다져 콧대에 주사 형태로 사용하는 방식도 도입되었다. 늑연골은 코 성형에서 가장 풍부한 양을 제공하는 재 료로, 비중격을 재건하거나 코끝과 콧대 등의 구조를 안정적으로 잡아주는 데 사용되고 있다. 주로 재수술 시 활용되었으나, 최근에는 보형물을 사용하지 않는 무 보형물 수술의 트렌드와 맞물려 자주 활용된다. 특히 첫 수술에서도 콧대와 코끝에 동시에 사용하기도 한다. 콧대에 원 블록 형태로 사용했을 때 발생하는 와핑 (warping, 휘어짐) 현상을 해결하기 위해 다진 연골을 이용한 콧대 융기가 새로운 대안으로 제시되고 있다.기증 연골·기증 진피·인공 물질 등 2000년대 이후, 기증 연골과 기증 진피의 사용이 꾸준히 증가하며 코 성형의 재료로 자리 잡았다. 별도의 연골 채취 과정 없이 수술 시간을 단축할 수 있는 장점이 있지만 자가 조직에 비해 염증 발생 가능성이 높고, 흡수되거나 부러질 위험이 있다. 2000년대 중반에는 비중격을 대체할 수 있는 메드포어 메시(medpor mesh) 같은 인공 물질을 활용한 비중격 연장술이 유행하기도 했다. 메드포어 메시는 초기에 는 안정적이라는 평가를 받았지만, 시간이 지나면서 주 변 조직과의 비정상적 유착, 정상 조직의 손상과 탈출 문제 등이 보고되었다. 근막과 연골막은 코의 구조를 재건하거나 콧등의 미세 한 융기를 교정하는 데 사용되고 있지만 모든 케이스 에 적용하기에는 한계가 있으며, 보조적인 역할로 사용되는 경우가 많다. 마치 요리에 들어가는 양념처럼, 근막과 연골막은 코 성형을 보완하는 재료로 활용되 고 있다. 2010년대에는 다양한 재료를 환자의 케이스에 맞게 활용하는 것이 코 성형의 중요한 기술이었으나 2020년대 들어서는 가장 안전한 재료인 자가 연골만을 활용하여 다양한 케이스를 해결하는 방식이 코 성형의 새로운 기준이 되었다. 새로운 코 성형의 대안, 연골 입자연골 입자는 자가 연골을 잘게 입자화하여 연골의 성질은 유지하면서 자가 혈액 응고 성분으로 형태를 새로 만든다. 기존의 코 성형 재료에서 나타날 수 있는 부작용을 대폭 줄이고, 안전성과 효과를 높였다. 연골 입자는 본인의 연골을 사용하기 때문에 거부반응 이나 염증 발생 확률이 매우 낮으며, 진피와 비교해 흡수율이 현저히 낮아 안정적이고 견고한 결과를 제공한다. 바로코의원의 연골 입자는 20년간 축적된 맞춤형 실리 콘 제작, 진피 가공 기술, 연골 채취 기술을 기반으로 개발된 노하우이다. 연골 입자를 재료로 가공하여, 기 존의 실리콘과 진피의 장점을 모두 결합한 아이디어를 실현한 것이다. 특히 바로코의 연골 입자 블록은 개개인의 몰드에 맞춰 제작된 실리콘 형태의 블록이다. 마치 모래에 시멘트를 굳히는 것처럼 견고하고 자연스러운 결과를 제공한다. 독자적인 주입 기구를 통해 연골 입 자를 주사 형태로 사용하여 코, 인중, 팔자주름, 턱 등 다양한 부위에 적용할 수도 있다.작용은 여전히 해결해야 할 과제였다. 2000년대 들어 움직임이 많은 코끝 부위에서 부작용을 막기 위한 노력으로 인체 조직의 사용이 크게 증가하였다. 2010년대에 들어서는 이러한 자가 조직 사용이 코끝뿐만 아니라 콧대에도 확대되며, 자연스 럽고 안정적인 결과를 추구하는 성형 방식으로 자리 잡았다. 코 성형에서 가장 흔히 사용되는 자가 조직은 비중격 연골이다. 비중격 연골은 한 필드에서 간편하게 채취할 수 있으며, 부드러움과 강도가 주변 조직과 비슷하고 흡수 되지 않아 안정적인 결과를 제공한다. 비중격 연골은 이 상적인 코 성형 재료로 평가받고 있으나, 동양인의 경우 비중격 연골의 양이 적고, 코를 지탱하는 주요 구조물이 라는 점에서 과도한 채취는 구조적인 무너짐을 초래할 수 있다. 특히 재수술의 경우 수술 시간의 절반이 손상 된 비중격을 재건하는 데 사용되는데, 비중격 연골 채취 가 초래하는 치명적인 부작용이라 할 수 있다.귀연골과 늑연골 귀연골은 특유의 곡선 형태와 부드럽지만 질긴 성질 덕분에 코 성형에서 다양하게 활용되고 있다. 특히 코끝 겹이식이나 방패이식에 자주 사용되었다. 비중격 연골 채취로 인한 부작용을 피하기 위해서 귀연골이 비중격 연장술에도 효과적으로 사용되고 있다.귀연골은 코 성형 중 촉진과 시진만으로 연골의 크기와 사용 가능 여부를 쉽게 확인할 수 있다는 장점이 있다. CT 등의 장비 없이도 적합한 연골을 선택할 수 있는 것 이다. 귀연골 곡선의 특성을 이용하고, 힘을 적절하게 이용한다면 코끝연장술에서도 반듯하고 안정적인 결과를 얻을 수 있다. 최근에는 귀연골을 다져 콧대에 주 사 형태로 사용하는 방식도 도입되었다. 늑연골은 코 성형에서 가장 풍부한 양을 제공하는 재료로, 비중격을 재건하거나 코끝과 콧대 등의 구조를 안정적으로 잡아주는 데 사용되고 있다. 주로 재수술 시 활용되었으나, 최근에는 보형물을 사용하지 않는 무 보형물 수술의 트렌드와 맞물려 자주 활용된다. 특히 첫 수술에서도 콧대와 코끝에 동시에 사용하기도 한다. 콧대에 원 블록 형태로 사용했을 때 발생하는 와핑 (warping, 휘어짐) 현상을 해결하기 위해 다진 연골을 이용한 콧대 융기가 새로운 대안으로 제시되고 있다.기증 연골·기증 진피·인공 물질 등 2000년대 이후, 기증 연골과 기증 진피의 사용이 꾸준 *135쪽으로 이어집니다. 히 증가하며 코 성형의 재료로 자리 잡았다. 별도의 연 골 채취 과정 없이 수술 시간을 단축할 수 있는 장점이 있지만 자가 조직에 비해 염증 발생 가능성이 높고, 흡 수되거나 부러질 위험이 있다. 2000년대 중반에는 비중격을 대체할 수 있는 메드포 어 메시(medpor mesh) 같은 인공 물질을 활용한 비중 격연장술이 유행하기도 했다. 메드포어 메시는 초기에 는 안정적이라는 평가를 받았지만, 시간이 지나면서 주 변 조직과의 비정상적 유착, 정상 조직의 손상과 탈출 문제 등이 보고되었다. 근막과 연골막은 코의 구조를 재건하거나 콧등의 미세 한 융기를 교정하는 데 사용되고 있지만 모든 케이스 에 적용하기에는 한계가 있으며, 보조적인 역할로 사 용되는 경우가 많다. 마치 요리에 들어가는 양념처럼, 근막과 연골막은 코 성형을 보완하는 재료로 활용되고 있다.2010년대에는 다양한 재료를 환자의 케이스에 맞게 활용하는 것이 코 성형의 중요한 기술이었으나 2020년대 들어서는 가장 안전한 재료인 자가 연골만을 활용하여 다양한 케이스를 해결하는 방식이 코 성형의 새로운 기준이 되었다. 새로운 코 성형의 대안, 연골 입자 연골 입자는 자가 연골을 잘게 입자화하여 연골의 성질은 유지하면서 자가 혈액 응고 성분으로 형태를 새로 만든다. 기존의 코 성형 재료에서 나타날 수 있는 부작용을 대폭 줄이고, 안전성과 효과를 높였다. 연골 입자는 본인의 연골을 사용하기 때문에 거부반응 이나 염증 발생 확률이 매우 낮으며, 진피와 비교해 흡수율이 현저히 낮아 안정적이고 견고한 결과를 제 공한다. 바로코의원의 연골 입자는 20년간 축적된 맞춤형 실리 콘 제작, 진피 가공 기술, 연골 채취 기술을 기반으로 개발된 노하우이다. 연골 입자를 재료로 가공하여, 기 존의 실리콘과 진피의 장점을 모두 결합한 아이디어를 실현한 것이다. 특히 바로코의 연골 입자 블록은 개개 인의 몰드에 맞춰 제작된 실리콘 형태의 블록이다. 마치 모래에 시멘트를 굳히는 것처럼 견고하고 자연스러운 결과를 제공한다. 독자적인 주입 기구를 통해 연골 입 자를 주사 형태로 사용하여 코, 인중, 팔자주름, 턱 등 다양한 부위에 적용할 수도 있다.

Date : 2026-02-12

HIT : 109

[김준 원장의 Dr. Note] 코 성형의 역사와 재료의 변화

코 성형은 인류가 최초로 시도한 성형수술로, 그 역사 가 매우 오래되었다. 기원전 9세기경 고대 인도에서 코 성형의 초기 형태가 시작되었다. 당시 전쟁 포로나 도망 친 노예에게 코를 절단하는 형벌이 있었는데 이를 복원 하기 위한 재건수술이 시행되었다. 자유를 찾았을 때 원한 것이 바로 코의 재건이었던 것이다. 코 성형의 시 초로 여겨지는 이 수술은 알렉산더 대왕의 인도 원정 후 유럽으로 전파되었다. 그림 1. Indian flap for nasal reconstruction. 이마근을 스페이드 모양으로 자르고 돌려서 국소 피판술을 시행하였다. 출처 : The Principles of Surgical Practice: Sushruta Samhita and its Importance to Present Day Surgery, Abhinav Kumar 외, January 2020 Journal of Surgery Open Access 6(2), DOI:10.16966/2470-0991.207<그림 1>은 기원전 6세기 인 도 의사 Acharya Sushruta의 국소 피판술이다. 이 마의 근육과 피부를 스페이드 모양으로 절개한 뒤, 이 를 돌려서 코를 복원하는 수술을 시행했다. 이마에서 절개한 조직은 혈관이 연결된 상태로 유지되었고, 코에 위치시켜 생착이 이루어지도록 하였다.유럽에서는 특히 대항해시대에 코 성형이 주목받기 시 작하였다. 당시 유럽 전역에서 매독이 창궐하여 그 후 유증으로 코가 결손되는 사례가 빈번히 발생하였다. 이 를 치료하고 외형을 복원하기 위해 코 성형 기술이 발전 하였다. 코의 결손은 단순히 미용적인 문제를 넘어서 사 회적 낙인과 심리적 고통을 초래했기 때문에, 코 성형은 개인의 삶의 질을 개선하는 중요한 수술로 자리 잡았다. 중세 유럽에서 시행된 코성형술은 성형외과 역사에서 중요한 전환점을 이루었다.그림 2. ① 팔의 피부를 이용해 코를 복원하는 중세 유럽의 성형 기술. 출처 : 대한이비인후과학회 웹진 126호. ② De Curtorum Chirurgia Per Insitionem(1597), Gaspare Tagliacozzi. 출처 : https://it.wikipedia.org/wiki/Gaspare_Tagliacozzi당시 사용된 방법은 이탈리 아의 성형외과 의사 Gaspare Tagliacozzi가 개발한 수술법(<그림 2>)으로, 팔의 피부를 코 재건에 사용하 는 독특한 방식이었다. 환자의 팔을 얼굴에 고정시킨 상 태에서 피부가 혈관을 통해 생착되도록 유도한 후 일정 시간이 지나 피부를 잘라내어 코의 결손 부위를 덮는 방식으로 진행되었다.전쟁이 가져온 술기의 발전코 성형이 비약적으로 발전하게 된 계기는 제1차 세계 대전이었다. 총탄이나 포격으로 인해 신체가 손상되는 사례가 빈번했는데, 특히 참호 안에서 폭발물에 노출되거나 총탄을 맞아 코에 심각한 손상 을 입는 경우가 많았다. 전쟁이 끝난 후, 이러한 손상을 복원하고자 하는 요구는 폭발적으로 증가했다.그러던 중 영국의 외과 의사 Harold Gillies는 혁신적인 수술 방법인 튜브 피판이식술(tube pedicle transplant) 을 개발하였는데 당시로서는 매우 획 기적인 기술로 평가되었다. 재건할 부 위에 사용할 피부와 연조직을 튜브 모양으로 성형한 뒤, 이를 피판으로 만들어 양쪽 끝을 고정시키는 방식이었 다. 이후 일정 기간이 지나면 튜브 모양의 조직 일부를 절단하여 대상 부위로 서서히 이동시키는 과정을 반복 하며, 최종적으로 결손 부위를 복원하는 기술이었다. 이 수술은 단순히 코를 복원하는 것에서 그치지 않았 다. Gillies의 접근법은 손상된 조직을 복구할 뿐만 아 니라, 생착 과정을 통해 복원된 부위가 환자의 몸과 자 연스럽게 융합되도록 했다. 당시 의료 기술로는 혁명적 인 방법이라고 할 수 있었으며, Gillies는 이를 통해 심 각한 외상과 손상을 입은 수많은 병사들에게 새로운 삶을 선사했다.그의 기술은 제1차 세계대전 이후의 성 형외과 발전에 지대한 영향을 미쳤으며, 현대 재건성형 외과의 기반을 마련했다.이러한 코 성형 기술은 발전을 거듭하며, 단순히 결손 부위를 복원하는 수술을 넘어 미용적인 목적을 가진 성형으로 확장되었다. 아이러니하게도, 현대에 널리 시 행되는 코 성형은 전쟁과 형벌로 인한 결손을 해결하기 위한 필요에서 출발한 것이다. 전쟁은 많은 파괴를 낳았지만, 역설적으로 코 성형과 재건수술의 발전에 큰 전 환점이 되었다.Gillies가 개발한 기술은 이후 많은 외과 의사들에게 영감을 주었다. 그의 방법은 재건 성형의 영역에서 다양 하게 변형되고 응용되었으며, 현대 미용 성형의 중요한 토대를 이루고 있다. 전쟁이라는 비극적 상황 속에서도 Gillies와 같은 혁신적인 외과 의사들이 있었기에, 오늘 날 많은 사람들이 신체적 결손을 극복하고 더 나은 삶을 살아갈 수 있는 기회를 얻을 수 있었다.현대 코 성형의 시작과 발전현대적인 코 성형의 시작은 100여 년 전 미국의 이비인후과 의사 Roe와 독일의 이비인후과 의사 Joseph의 노력으로 이루어졌다. 두 사람으로 인해 코 성형의 개념 을 확립하고, 실제 임상에 적용하며 성형외과의 새로운 시대를 열었다고 할 수 있다. 당시 코 성형은 큰 코를 줄 이는 데 중점을 두었다. 심한 매부리코를 교정하여 콧 등을 부드럽고 매끄럽게 만드는 수술이 주로 시행되었 다. 이 수술은 단순히 미용적 문제를 해결하는 것을 어 환자들의 자신감을 회복시키고, 얼굴의 균형을 바로 잡는 데 기여했다다양한 코성형연장술의 방법. 비중격의 상단이나 미단을 연장한 후 비익연골을 고정하여 짧은 코를 늘이는 방법은 코 성형의 혁신 중 하나라고 할 수 있다. 김준 원장 제공초기의 코 성형은 코 안쪽을 절개해 콧등을 깎는 방식 이었다. 외부에서 수술 자국이 보이지 않도록 설계되 었지만, 수술의 범위가 제한적이었고 코끝에 대한 교 정이 어려운 단점이 있었다. 이후 코의 외부를 절개하 여 접근하는 비외접근법이 도입되면서, 코 성형의 영 역은 더욱 확장되었다. 코끝의 수술이 훨씬 용이해진 계기가 되었으며, 외관과 기능을 동시에 개선할 가능 성을 열었다.특히 비외접근법은 개방형 코 성형의 토대를 마련하며 코 성형의 발전에 중요한 역할을 했다. 개방형 코 성형 은 비익연골과 비중격의 노출을 가능하게 하여 더욱 정 교한 조작이 이루어질 수 있도록 했다. 수술의 정확도 를 높이는 데 크게 기여했다는 평가를 받는다. 미용적 결과 뿐만 아니라 기능적 개선을 목표로 하는 코성형술 의 발전을 이끌었다고 할 수 있겠다.개방형 코 성형의 도입으로 비중격연골의 활용도 크게 증가했다. 비중격은 코를 지지하고 형태를 유지하는 중 요한 구조로서 이를 조작하거나 연장하는 방법은 코 성 형의 핵심 기술로 자리 잡았다. 코의 길이를 늘이고 자연스럽고 조화로운 모양을 만드는 데 매우 효과적이다.2010년대 이후 코 성형의 변화 2010년대에 개방형 코 성형은 코의 구조를 완벽히 노출시키고, 다양한 수술 방법을 적 용할 수 있다는 장점으로 널리 시행되었다. 비익연골과 비중격을 정밀하게 조작할 수 있어 환자의 코 모양을 이상적으로 교정하는 데 효과적인 방법이긴 하지만, 연골과 피부, 심지어 뼈까지 광범위하게 조작하 는 과정을 포함하면서 부작용 발생률도 증가했다. 2020년대 들어 코 성형의 접근 방식은 크게 변화하였 다. 가능하면 뼈를 깨뜨리는 수술을 피하고 연골을 절 제하지 않는 방향으로 수술 방식을 조정하기 시작했다. 대신 연골 봉합, 연골 이식, 또는 기존 연골 구조를 보 존하면서 복원하는 기술을 채택하여 코의 본래 기능과 형태를 유지하는 데 중점을 두었다. 특히 코의 내부 구 조를 지탱하는 인대를 박리하지 않거나, 수술 후 복원 하는 방식으로 변화하면서 코의 안정성을 높이고 회복 속도를 단축할 수 있었다.비침습적이고 구조 보존적인 접근법은 코 성형의 새로 운 트렌드로 자리 잡았다. 과거에는 뼈와 연골을 과감 히 조작해 원하는 형태를 만들어내는 방식이 주류였다 면, 이제는 자연스러운 결과를 얻기 위해 최소한의 조 작으로 본래의 구조를 최대한 유지하는 방향으로 발전 하고 있는 것이다. 

Date : 2026-02-11

HIT : 112